MENU
審美歯科症例一覧aesthetic dentistry case
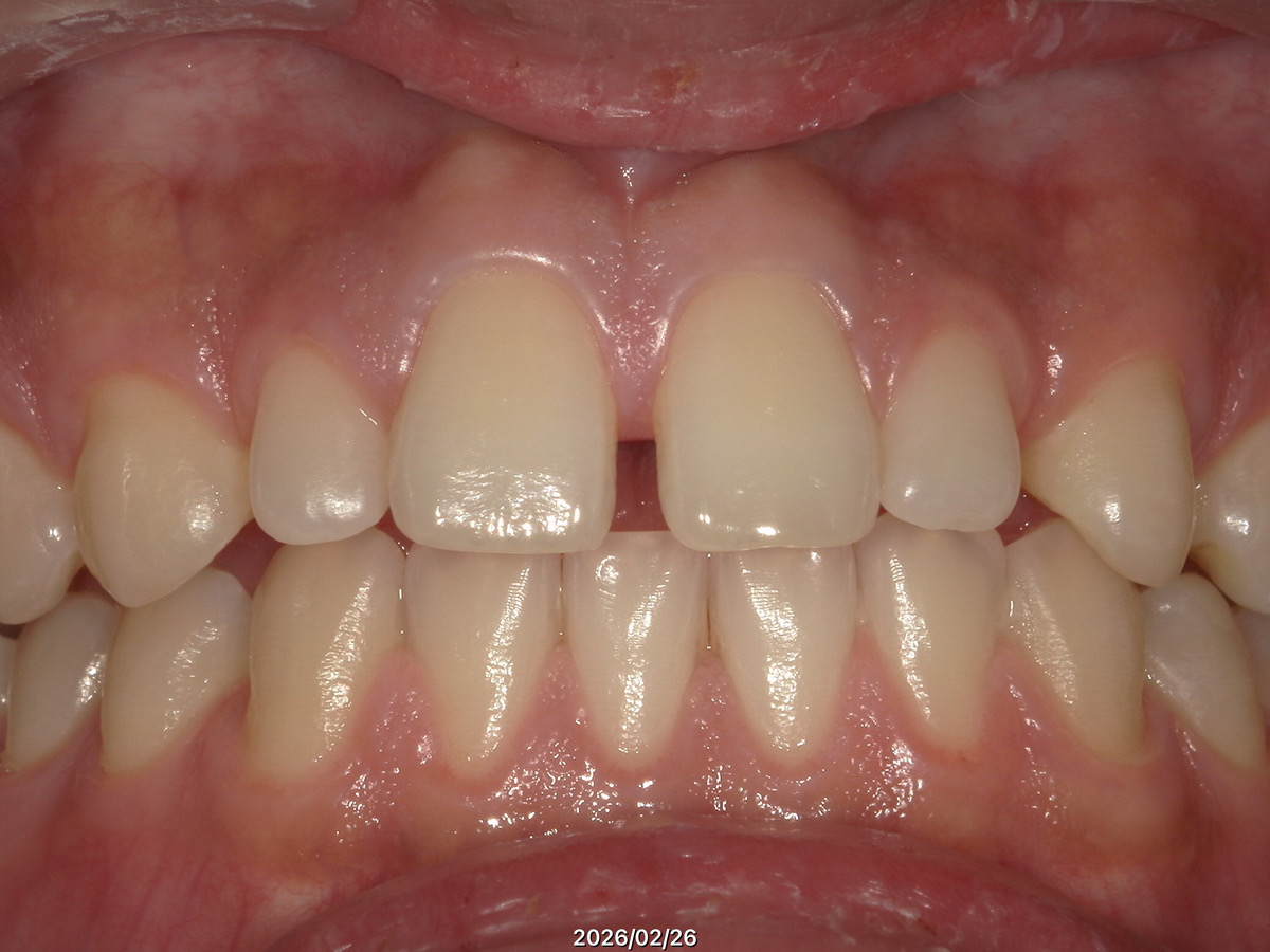
| Before |
|---|
![]() |
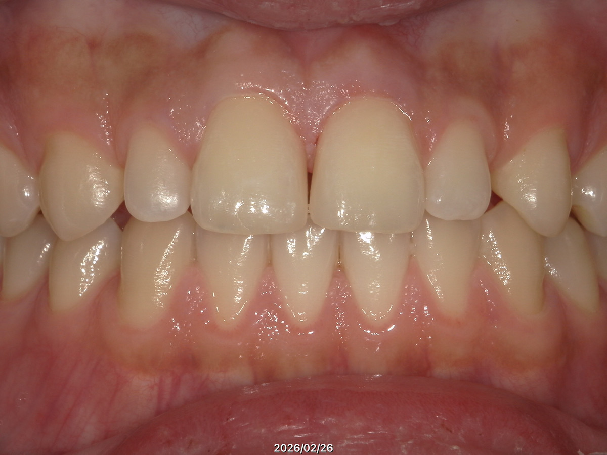
| After |
|---|
![]() |
| 治療名称 | 前歯ダイレクトボンド |
|---|---|
| 年齢 | 28歳 |
| 性別 | 男性 |
| 主訴 | 前歯のすきっ歯を歯を削らずに治したい。 |
| 治療期間 | 1回 |
| 費用 | 5万円/1歯あたり |
| 治療内容 | ダイレクトボンド |
| 治療に伴うリスク | 強い力が加わると外れる可能性があります。 |
前歯のすきっ歯がコンプレックスで気になるとのことでご来院。
歯を削ることなく、歯の表面に特殊なレーザー処理をすることで強固な接着力でダイレクトボンドを行う。
歯を削らずに外れてしまうリスクを極限まで少なくして審美的にダイレクトボンディングしています。
| 日 | 月 | 火 | 水 | 木 | 金 | 土 | ||||||||||||||
|---|---|---|---|---|---|---|---|---|---|---|---|---|---|---|---|---|---|---|---|---|
| ||||||||||||||||||||
| ||||||||||||||||||||
| ||||||||||||||||||||
| ||||||||||||||||||||
| ||||||||||||||||||||
| ||||||||||||||||||||
| 日 | 月 | 火 | 水 | 木 | 金 | 土 | ||||||||||||||
|---|---|---|---|---|---|---|---|---|---|---|---|---|---|---|---|---|---|---|---|---|
| ||||||||||||||||||||
| ||||||||||||||||||||
| ||||||||||||||||||||
| ||||||||||||||||||||
| ||||||||||||||||||||
休診日
2024年11月2日
12月30日(月)~1月5日(日)を休診とさせていただきます。
患者様にはご不便おかけしますが、ご了承いただきますようお願い申し上げます。
2024年8月2日
9月24日(火)を臨時休診とさせていただきます。
患者様にはご不便おかけしますが、ご了承いただきますようお願い申し上げます。