こんにちは。神戸市中央区、JR「三ノ宮駅」より徒歩30秒にある歯医者「神戸三宮アステオ歯科」です。
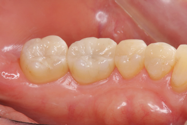
奥歯の治療には多くの選択肢がありますが、そのなかでもセラミックは近年注目を集めています。見た目の自然さや機能性の高さから、前歯だけでなく奥歯にも使用されています。
しかし、奥歯の治療にセラミックを選ぶことには、メリットだけでなくデメリットも存在します。治療を検討するうえでは、それぞれの特徴をしっかり把握しておくことが大切です。
この記事では、奥歯の治療にセラミックを選択する際のメリットとデメリット、さらに、気になる費用について詳しく解説していきます。
セラミック治療とは

セラミック治療とは、おもに陶材であるセラミック(陶器)を用いて歯の修復を行う治療法のことを指します。虫歯治療後の詰め物・被せ物(インレー・クラウン)として使用されるだけでなく、歯の形や色を整える審美的な目的でも用いられます。
金属を使用しないため、見た目が自然で違和感が少なく、特に前歯や奥歯の治療に選択される患者さまが多いです。また、セラミックは金属アレルギーの心配がなく、口の中で錆びたり変色したりすることもないため、清潔感を保ちやすい素材でもあります。
噛み合わせの調整が必要な場合でも、細かく色や形をカスタマイズできるのが特徴です。セラミック治療は、見た目を重視するだけではなく、口腔内の健康維持や機能性を考慮した治療としても注目されています。
奥歯に使用されるセラミックの種類

セラミック治療にはいくつかの種類があり、それぞれ強度や見た目、使用できる部位が異なります。ここでは、奥歯に使用される代表的なセラミックについて解説します。
オールセラミック
オールセラミックはセラミックのみで作られた素材であり、透明感に優れた審美性の高い素材です。金属を含まないため金属アレルギーの心配がなく、天然歯のような自然な見た目が再現できます。
ただし、オールセラミックは衝撃に弱いため、奥歯など咀嚼力の強い部分には向いていない可能性があります。
ジルコニアセラミック
次に、ジルコニアセラミックもよく利用される素材です。ジルコニアは人工ダイヤモンドとも呼ばれるほど強度が高く、奥歯のように強い力がかかる部位でも安心して使用できます。また、耐久性にも優れており、割れにくいのが特徴です。
近年では審美性も向上し、自然な色調を再現できるようになっています。なお、ジルコニアは非常に硬いため、噛み合う歯を傷つける可能性がある点は理解しておく必要があります。
e-max
e-maxは、非常に高い強度と優れた審美性を兼ね備えています。ガラスセラミックをベースにした素材で、オールセラミックよりも優れた強度を持ちながら、透明感のある美しい仕上がりが可能です。
ハイブリッドセラミック
ハイブリッドセラミックは、セラミックに歯科用プラスチックのレジンを混合した素材で、柔軟性と審美性を兼ね備えています。奥歯にも使用できますが、純粋なセラミックと比較すると経年劣化によって変色したり摩耗しやすかったりします。
また、他のセラミックと比べると強度が劣るため、硬い食べ物を咬むと欠ける可能性があるでしょう。
奥歯の治療にセラミックを選択するメリット

奥歯の治療にセラミックを使用するメリットは、以下のとおりです。
自然な見た目を再現できる
セラミックは、天然歯に近い透明感と光沢を持つ素材です。保険が適用される銀歯の場合、口をあけたときに金属が目立ちやすく、特に会話や笑顔の際に気になる方も多いでしょう。
セラミックで治療した歯は周囲の歯と馴染みやすく、審美性が高いため見た目にも気を使いたい方に選ばれています。
耐久性が高い
セラミックは強度が高く、適切なケアをすれば10年以上使い続けることも可能です。特に、高品質なセラミック素材を選ぶことで、噛む力にも十分に耐えられる補綴物を実現できるでしょう。
また、金属を使用しないメタルフリーのセラミックは、金属による破折や変形のリスクを軽減できるため、奥歯のように使用頻度の高い部位でも安心して使用できます。
金属アレルギーのリスクがない
オールセラミックやジルコニアなどの非金属素材は、金属アレルギーをお持ちの方でも安心して使用できます。銀歯を長期間使用すると、金属イオンが溶け出し、歯茎が黒ずむメタルタトゥーと呼ばれる症状を引き起こすことがあります。
一方、セラミックはこのような心配がないため、見た目だけでなく口腔内の健康にも配慮した選択が可能となります。
虫歯の再発リスクが低い
セラミックは劣化しにくく、長期間の使用に耐えられる素材です。金属の詰め物・被せ物は、経年劣化により銀歯との間に隙間ができ、そこから虫歯菌が入り込む二次カリエスを引き起こすことがあります。
しかし、セラミックは耐久性が高く、歯との適合性も優れています。そのため、虫歯の再発リスクを大幅に低減することができます。
奥歯の治療にセラミックを選択するデメリット

ここでは、治療を選択する際に知っておきたいデメリットをご紹介します。
費用が高い
セラミック治療の最も大きなデメリットの一つは、費用が高額になる傾向があることです。
セラミックの素材自体が高価であり、機能的な噛み合わせの調整や精密な型取り、複雑な技術を要する治療が必要になるため、1本あたり数万円から十数万円かかることもあります。また、歯科医院によっては治療方法に応じた費用設定が異なるため、慎重に比較検討することが必要です。
割れる可能性がある
セラミックは天然歯に近い硬さを持っていますが、衝撃には弱い性質があります。そのため、強い力が加わるような条件下では割れるリスクもあります。
特に、歯ぎしりや食いしばりの癖がある方や、接着力の強い食べ物を頻繁に口にする方は、セラミックが破損する可能性が高くなります。
治療に時間がかかることがある
セラミック治療は、歯型取りや技工所でのクラウン製作、適合確認など、工程が多く治療完了までに複数回の通院が必要です。そのため、治療完了までの期間が長くなることがあります。また、治療途中に調整が必要となる場合もあり、患者さまの協力が重要です。
奥歯をセラミックにする場合の費用

セラミック治療は自由診療となるため、治療費は全額自己負担になります。一般的に、奥歯をセラミックにする場合の費用は、1本あたり約8万円〜15万円が相場です。
ただし、使用するセラミックの種類や治療の難易度、歯科医院の方針によって価格は異なります。費用は高額ですが、長期間使用できるうえ、見た目の自然さや耐久性に優れており、コストパフォーマンスに優れていると感じる方もいます。
また、歯科医院によっては、分割払いやデンタルローンなどの支払い方法を選べる場合もあります。対応している支払い方法は歯科医院によって異なりますが、経済的な負担を抑える方法を導入している歯科医院が多いです。
事前に見積もりをもらい、複数の歯科医院で相談すると良いでしょう。
まとめ

奥歯のセラミック治療は、自然な見た目と高い耐久性を兼ね備えた選択肢です。ジルコニアやe-maxなどの素材は、金属アレルギーのリスクがなく、長期間にわたり口腔内の健康を守ることができます。
ただし、費用が高額になりやすく、素材によっては割れるリスクもあるため、事前に歯科医師と十分に相談し、ご自身に合った治療法を選ぶことが重要です。見た目と機能性の両方を重視したい方にとって、奥歯のセラミック治療は非常に魅力的な選択肢と言えるでしょう。
奥歯のセラミック治療を検討されている方は、神戸市中央区、JR「三ノ宮駅」より徒歩30秒にある歯医者「神戸三宮アステオ歯科」にお気軽にご相談ください。
当院は、歯科治療から根管治療(歯根治療)、審美的なセラミック治療まで様々な治療を提供しています。診療案内ページはこちら、ネット診療予約も受け付けておりますので、ぜひご覧ください。














