MENU
根管治療症例一覧root canal treatment case
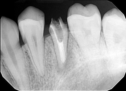
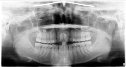
| Before |
|---|
![]() |
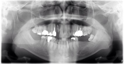
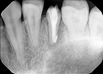
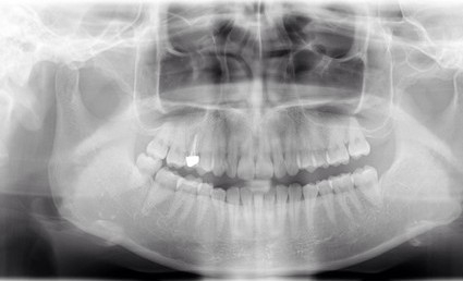
| Before(レントゲン) |
|---|
![]() |
| After |
|---|
![]() |
| 主訴 | 歯がしみる・見た目を改善したい |
|---|---|
| 状態 | 完全に神経が見えている状態だったので、根管治療を行ったのちセラミックで審美回復した症例。 |
| 料金 | 根管治療9万円+税、ファイバーコア2万円+税、仮歯1.5万円、E=MAXクラウン11.5万円+税(1本)×2本分=48万円 |
※根管治療と審美は別っていう医院が多いけど、包括的に治療できることが強み
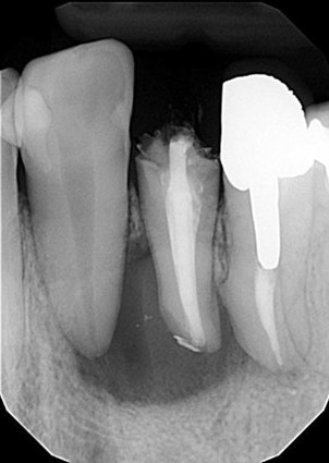
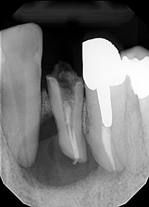
| Before |
|---|
![]() |
| 治療経過 |
|---|
歯をとった瞬間に黄色い膿が吹き出た |
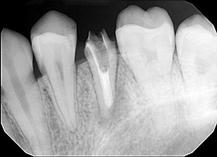
| Before |
|---|
![]() |
| After |
|---|
![]() |
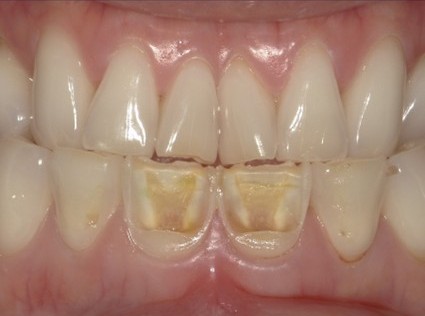
| After |
|---|
![]() |
| After |
|---|
![]() |
| 主訴 | 膿がたまてしまっていて痛い状態 |
|---|---|
| 状態 | 歯をとった瞬間に黄色い膿が吹き出た |
| 治療内容 | 根先部が破壊されてしまっていて、治療が難しい状態だったがマイクロスコープによる根管治療と、MTAセメントでの根幹充填により症状が緩和された。 骨再生因子を用いて骨を再生し、5ヶ月後には骨の再生が完了。セラミックによって審美的に補綴をして終了したケース。 |
| 料金 | 抗菌性歯内両方10万円、ファイバーコア2万円、ジルコニアクラウン12.5万円→14.5万円+税 |
※消毒費用が別途かかることがあります
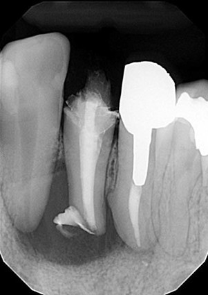
| Before |
|---|
![]() |
| 治療経過 |
|---|
![]() |
| 治療経過 |
|---|
![]() |
| 治療経過 |
|---|
![]() |
| After |
|---|
![]() |
| After |
|---|
![]() |
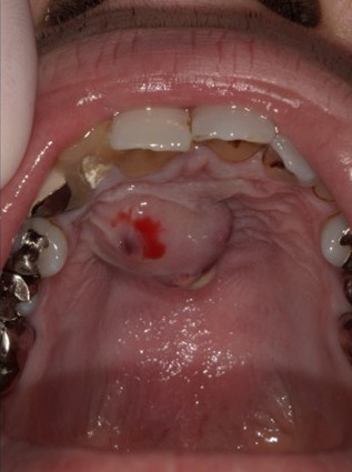
| 主訴 | 膿で腫れて痛みが強い、他の歯医者で抜歯しかないと言われ相談で来院 |
|---|---|
| 状態 | 自発痛もかなり強く、写真のように膿が溜まって腫れ上がっている状態 |
| 治療内容 | X写真から根先部の根先病変が原因と思われるため、根管治療を行った。 骨成長因子を用いて、骨の再生を促した。 結果、2年経過後病変の大きさが1/3まで縮小し、骨の再生が認められる。 本人も症状や違和感がなくなったため、一時的に補綴物をセラミックで行った。 |
| 料金 | 根管治療10万円、ファイバーコア2万円、EーMAX11.5万円 |
| 日 | 月 | 火 | 水 | 木 | 金 | 土 | ||||||||||||||
|---|---|---|---|---|---|---|---|---|---|---|---|---|---|---|---|---|---|---|---|---|
| ||||||||||||||||||||
| ||||||||||||||||||||
| ||||||||||||||||||||
| ||||||||||||||||||||
| ||||||||||||||||||||
| 日 | 月 | 火 | 水 | 木 | 金 | 土 | ||||||||||||||
|---|---|---|---|---|---|---|---|---|---|---|---|---|---|---|---|---|---|---|---|---|
| ||||||||||||||||||||
| ||||||||||||||||||||
| ||||||||||||||||||||
| ||||||||||||||||||||
| ||||||||||||||||||||
| ||||||||||||||||||||
休診日
2024年11月2日
12月30日(月)~1月5日(日)を休診とさせていただきます。
患者様にはご不便おかけしますが、ご了承いただきますようお願い申し上げます。
2024年8月2日
9月24日(火)を臨時休診とさせていただきます。
患者様にはご不便おかけしますが、ご了承いただきますようお願い申し上げます。